Blogs

planificacion-implantes-1024x329

Importancia de la planificación en el tratamiento con implantes

En Martínez-Barona Clínica Dental valoramos mucho explicar a nuestros pacientes los tratamientos que vamos a llevar a cabo y la importancia de la planificación en el tratamiento con implantes. Cuando un paciente necesita rehabilitar piezas dentales que ha perdido por diferentes motivos, ya sea por caries, enfermedad periodontal o traumatismos, necesitará reemplazarlas con implantes. Antes de empezar con [...]

Leer más

Traumatismos en dentición permanente

Los traumatismos en dentición permanente de niños son frecuentes. En el post anterior nos hemos querido centrar en la dentición temporal, y la importancia de su tratamiento. Ahora nos referiremos a traumatismos que suelen suceder en niños de más edad, aunque esta información también es válida en traumatismos en adultos. Qué hacer ante [...]

Leer más

Traumatismos dentales en niños pequeños

Es común que los niños puedan sufrir golpes mientras juegan, hacen deporte o simples accidentes que todos hemos tenido alguna vez.  Alguna de estas circunstancias  pueden producir traumatismos dentales, por lo que a continuación le ofrecemos algunos consejos útiles. En primer lugar, es aconsejable que ante estos traumatismos en niños, [...]

Leer más

¿Qué es un implante dental inmediato?

¿A que nos referimos con implante dental inmediato post extracción? Como el mismo nombre indica, es colocar un implante dental en el mismo acto de la extracción. Es decir, cuando un diente tiene que ser extraido por cualquier motivo (fracturas de la raíz, o perdida de gran parte de la [...]

Leer más

Halitosis, un problema muy común

¿Qué es la halitosis? La halitosis, comúnmente llamada mal aliento, es un problema que afecta a una gran parte de la población, llegando a ser un problema de carácter social. Es el conjunto de olores desagradables que se emiten por la boca. Esta relacionada con una deficiente higiene dental, pero puede estar [...]

Leer más

Coronas de porcelana

La rehabilitación  con coronas de porcelana han sustituido, en la mayoría de los casos, a las coronas de metal-cerámica. Los materiales y procedimientos de laboratorio han avanzado mucho en los últimos años. Se ha conseguido poder restaurar los dientes con coronas totalmente cerámicas tanto a nivel funcional como estético. ¿Cuándo es necesario [...]

Leer más

¿Qué es el bruxismo?

Definición de bruxismo Caso de bruxismo severo, que ha producido un grave desgaste dental El bruxismo es el hábito oral que consiste en el apretamiento, rechinamiento o frotamiento de los dientes de manera anormal e involuntaria. Puede ocurrir tanto por el día como por la noche, siendo durante el sueño [...]

Leer más

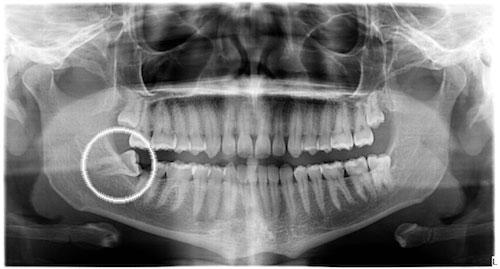
¿Cuándo extraer las muelas del juicio?

Las muelas del juicio, también llamadas terceros molares o cordales, generalmente erupcionan entre los 17 y 26 años. Estos son los últimos dientes en salir, y normalmente erupcionan justo por detrás de las últimas muelas (segundos molares). Al erupcionar los cordales, es normal que se tengan molestias, incluso cuando estos [...]

Leer más

¿Cómo cuidar los dientes de sus hijos?

Consejos sobre higiene dental de los más pequeños de la casa Las preguntas de nuestros pacientes sobre los cuidados dentales que deben llevar a cabo con sus hijos son cada vez más frecuentes. La población está más concienciada con la salud bucodental, y quieren que sus hijos comiencen con una [...]

Leer más

El deporte y la salud bucal

La salud bucal y la práctica deportiva están íntimamente relacionadas, y las patologías bucales pueden afectar al rendimiento deportivo, de una manera intensa y regular. Se ha demostrado que determinados tipos de lesiones deportivas, tanto articulares como musculares, pueden tener su origen en patologías bucodentales. Nos referimos a problemas dentales [...]

Leer más