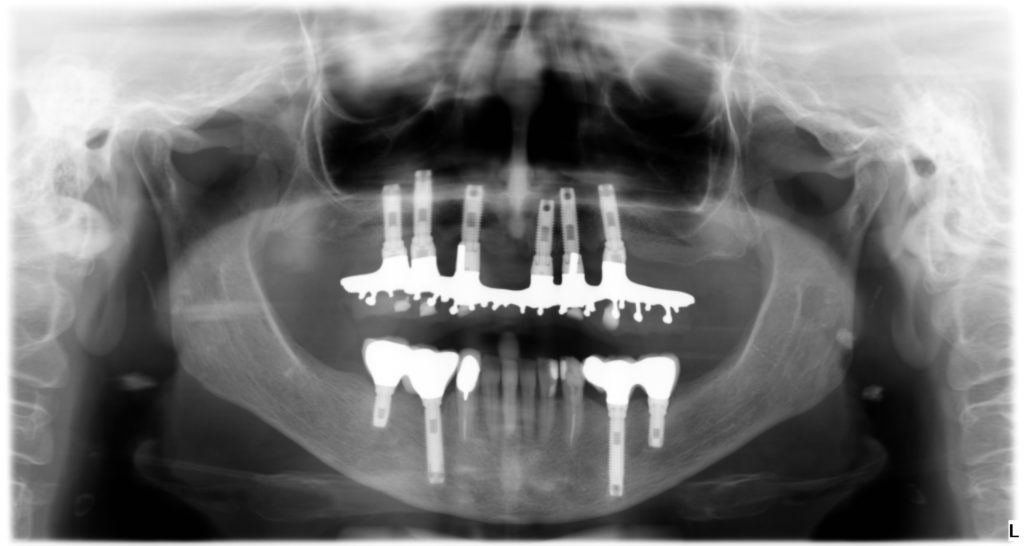
Importancia de la planificación en el tratamiento con implantes
En Martínez-Barona Clínica Dental valoramos mucho explicar a nuestros pacientes los tratamientos que vamos a llevar a cabo y la importancia de la planificación en el tratamiento con implantes. Cuando un paciente necesita rehabilitar piezas dentales que ha perdido por diferentes motivos, ya sea por caries, enfermedad periodontal o traumatismos, necesitará reemplazarlas con implantes. Antes de empezar con [...]
 
                            
 
	 
	