Carillas dentales
CARILLAS DE PORCELANA O COMPOSITE: ¿QUÉ SON?
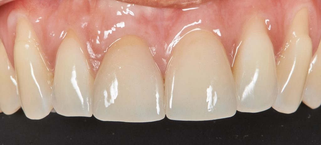
Es un tratamiento dental cuyo objetivo es mejorar funcional y estéticamente los dientes anteriores. Nos referimos a los dientes mas visibles de nuestra boca; incisivos, caninos, incluso premolares. Las carillas, al no estar realizadas con metal, son altamente estéticas.
Las carillas, que pueden ser de composite o porcelana, se realizan tanto en dientes superiores como inferiores.

Dientes inferiores con desgaste y cambios de color.

¿QUÉ DIFERENCIA A LAS CARILLAS DE LAS CORONAS(FUNDAS)?
Las coronas recubren totalmente la superficie del diente. Se realiza el tratamiento con coronas cuando el diente anterior ha perdido una gran parte de su estructura, ya sea por grandes caries o fracturas.
Las carillas, de porcelana o composite, son un tratamiento de odontología mínimamente invasiva, base de la odontología moderna.
Los principios para realizar este tipo de tratamientos son:
- Actitud conservadora, es decir, conservar al máximo la estructura dental, mejorando el pronóstico de los dientes.
- Adhesión. Tanto carillas de porcelana como de composite, se basan en la correcta adhesión de estos materiales a la estructura dental(dentina y esmalte).
Se utilizan las carillas para mejorar la forma, posición y color de los dientes, con lo que aumentamos la estética de nuestra sonrisa.
INDICACIONES.
Las carillas están indicadas en casos de:
- Cambio de color, de uno o varios dientes, que no puede ser solucionado con tratamientos de blanqueamiento.
- Modificaciones de la forma de los dientes, ya sean dientes muy pequeños(conoides), cierre de los espacios entre los dientes, aumento de la longitud de los dientes(casos de desgaste dental).
- Fracturas de dientes anteriores.


Tratamiento estético con carillas para modificar forma y posición de dientes anteriores.
Las carillas pueden estar realizadas de composite o de porcelana. Según el caso, sera mejor un material u otro.
Lo importante es llevar a cabo el tratamiento siguiendo las indicaciones del profesional. Por ejemplo, en casos de niños, siempre sera mejor realizar carillas de composite, ya que sus dientes están cambiando en forma y posición.
En casos de fracturas, cuando no son tan extensas, siempre sera mejor restaurar con composite.

Fractura borde incisal.

Obturación estética de fractura incisal.

Incisivos con desgastes y malposición.

Carillas de composite para solucionar este problemas funcional y estético, sin tener que tallar estructura dental.



